歯を失ったまま放置してませんか?
歯を1本失っても「特に不自由はないから」とそのままにしてしまう方が少なくありません。しかし、歯の欠損を放置するとお口全体に悪影響が広がります。例えば、抜けた歯の両隣の歯が倒れ込んできたり、かみ合っていた歯が伸びてきて、噛み合わせのバランスが崩れてしまいます。その結果、残っている歯に過度な負担がかかり、寿命を縮めてしまうのです。また、見た目の変化や発音のしにくさ、食事の楽しみが減ってしまうなど、生活の質にも影響を及ぼします。

欠損を補う3つの方法
歯を失った際の代表的な治療法は「入れ歯」「ブリッジ」「インプラント」の3つです。
入れ歯

取り外し式の人工の歯で、金属のバネを周囲の歯に引っ掛けて安定させます。治療期間が短く、保険が使える点はメリットですが、異物感や見た目、噛む力の低下といったデメリットがあります。
ブリッジ

失った歯の両隣を削って土台にし、その上に橋渡しの人工歯を装着する方法です。取り外し不要で違和感も少ないのが特徴ですが、健康な歯を削る必要があり、支えとなる歯に負担をかけてしまう点が課題です。
インプラント

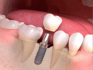
顎の骨に人工歯根(チタン製)を埋め込み、その上に人工の歯を固定する治療法です。天然歯に近い噛み心地を得られるうえ、周囲の歯に負担をかけないのが最大の特徴です。保険適用外で費用はかかりますが、「第二の永久歯」とも呼ばれるほど優れた治療法です。
インプラント治療に関して
《インプラント治療のメリット》
- しっかり噛める:噛む力は天然歯の約90%に近づき、硬いものも安心して食べられます。
- 自然な見た目:金属バネや銀歯のように見た目でわかることがなく、周囲の歯と調和します。
- 他の歯を守れる:両隣の歯を削らず、負担をかけないため、残っている歯を長持ちさせることができます。
- 長期的に安定:適切なメンテナンスを行えば、10年以上安定して使用できる可能性があります。
《治療の耐用年数比較》

《インプラント治療の注意点》
もちろんメリットだけではありません。外科的手術が必要であり、骨とインプラントが結合するまで数か月の治療期間がかかります。また、保険が使えないため費用は自費となります。それでも、多くの方が「もっと早くやればよかった」と実感される治療法です。
《当院の安全・安心の取り組み》
はすみ歯科クリニックでは、安心して治療を受けていただくために次の取り組みを行っています。
- CT撮影による精密診断:三次元画像で骨の状態を確認し、安全に治療を計画します。
- 国産インプラント使用:日本人に適した信頼性の高いメーカーを採用。
- 徹底した感染対策:高度な滅菌システムと使い捨て器具を積極的に導入し、衛生管理を徹底。
- 丁寧なカウンセリング:メリットだけでなく、デメリットや費用・期間についてもわかりやすくご説明します。
- インプラント専門学会専修医によるオペ:インプラントオペを担当する歯科医師は日本口腔インプラント学会専修医の院長が担当します。
- 豊富な臨床経験:様々な症例にも対応可能です。症例の一部をこちらのページで紹介しております。
《治療の流れ》
- カウンセリング 現在のお悩みやご希望をじっくりお伺いします。
- 精密検査 CT撮影などを行い、骨の量や質を診断します。
- 治療計画のご説明 費用や期間を含めてご納得いただけるようご説明します。
- インプラント埋入手術 麻酔下で人工歯根を埋め込む手術をします。
- 治癒期間 数か月かけて骨と結合するのを待ちます。
- 人工歯の装着 自然な見た目と機能を兼ね備えた被せ物を装着します。
- メンテナンス 長持ちさせるために定期的な通院でチェックします。
《費用の目安》


愛川町から通いやすい立地
当院は神奈川県厚木市に位置し、愛川町からもアクセスしやすい場所にあります。駐車場も完備しており、お車での通院も安心です。地域密着の歯科医院として、愛川町の皆さまに「自分の歯で食べる喜び」を取り戻していただくために、誠心誠意サポートいたします。

