-
詰め物・被せ物
-
ホワイトニング
-
インプラント
-
マウスピース矯正
-
小児矯正
-
根管治療
-
オールセラミック
Before
After
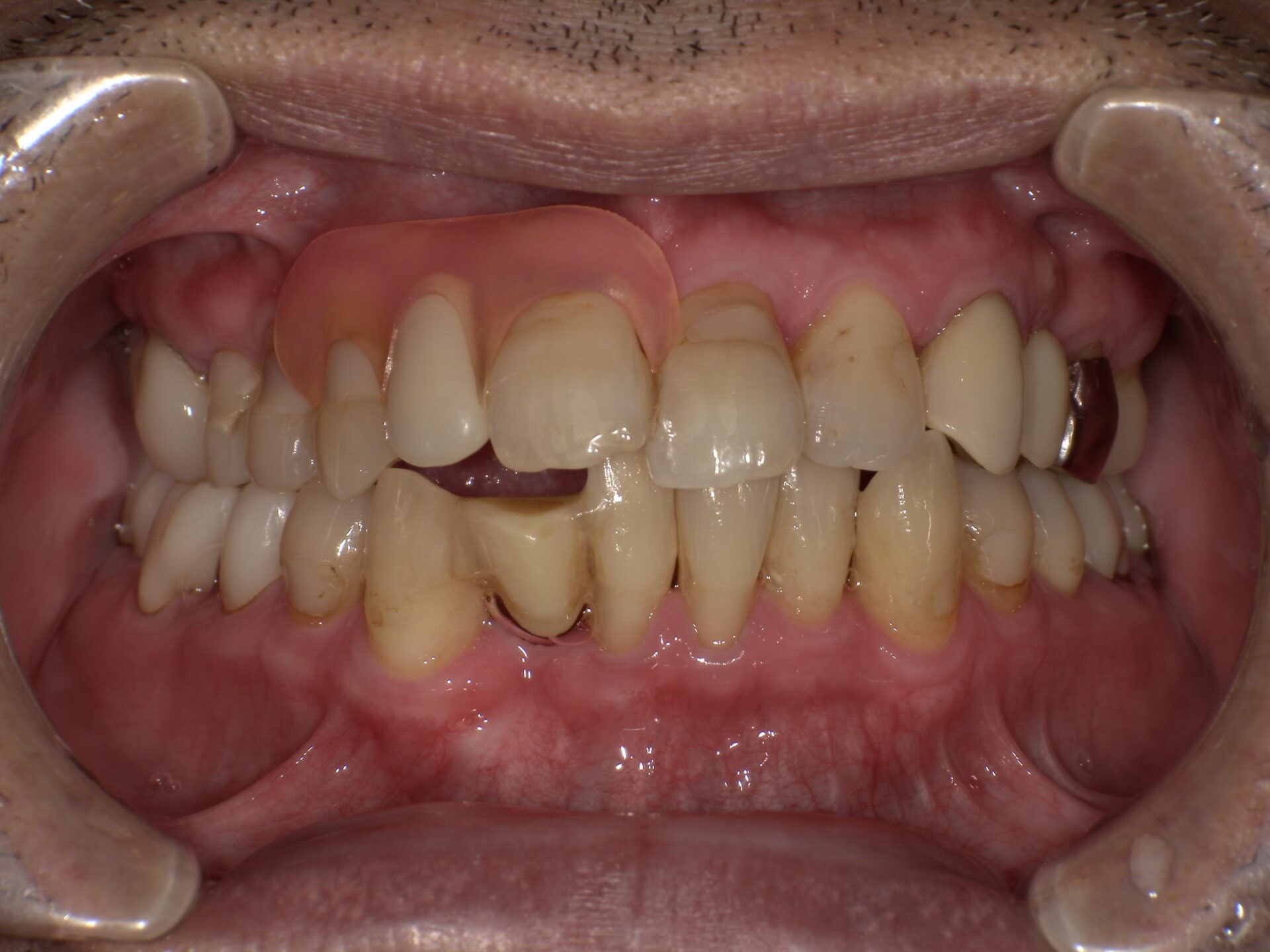
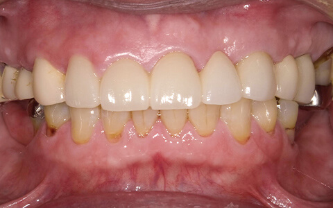
備考 主訴 患者さんは前歯をぶつけてしまいかけてしまったので審美面の回復を主訴に来院されました。 治療内容 前歯のオールセラミック治療 治療期間 1ヶ月 費用 79,200円 リスク・副作用 ・補綴治療は歯の形や噛み合わせを元通りにする治療ではありません。
・形や色は現在の状態に対して、可及的に調和が取れるようなされるものです。
・新しい噛み合わせに慣れるまでに時間がかかることがあります。
・術後にはナイトガード(歯ぎしり防止装置)の着用が必要な場合があります。- ※
- 表示金額は全て税込みです。
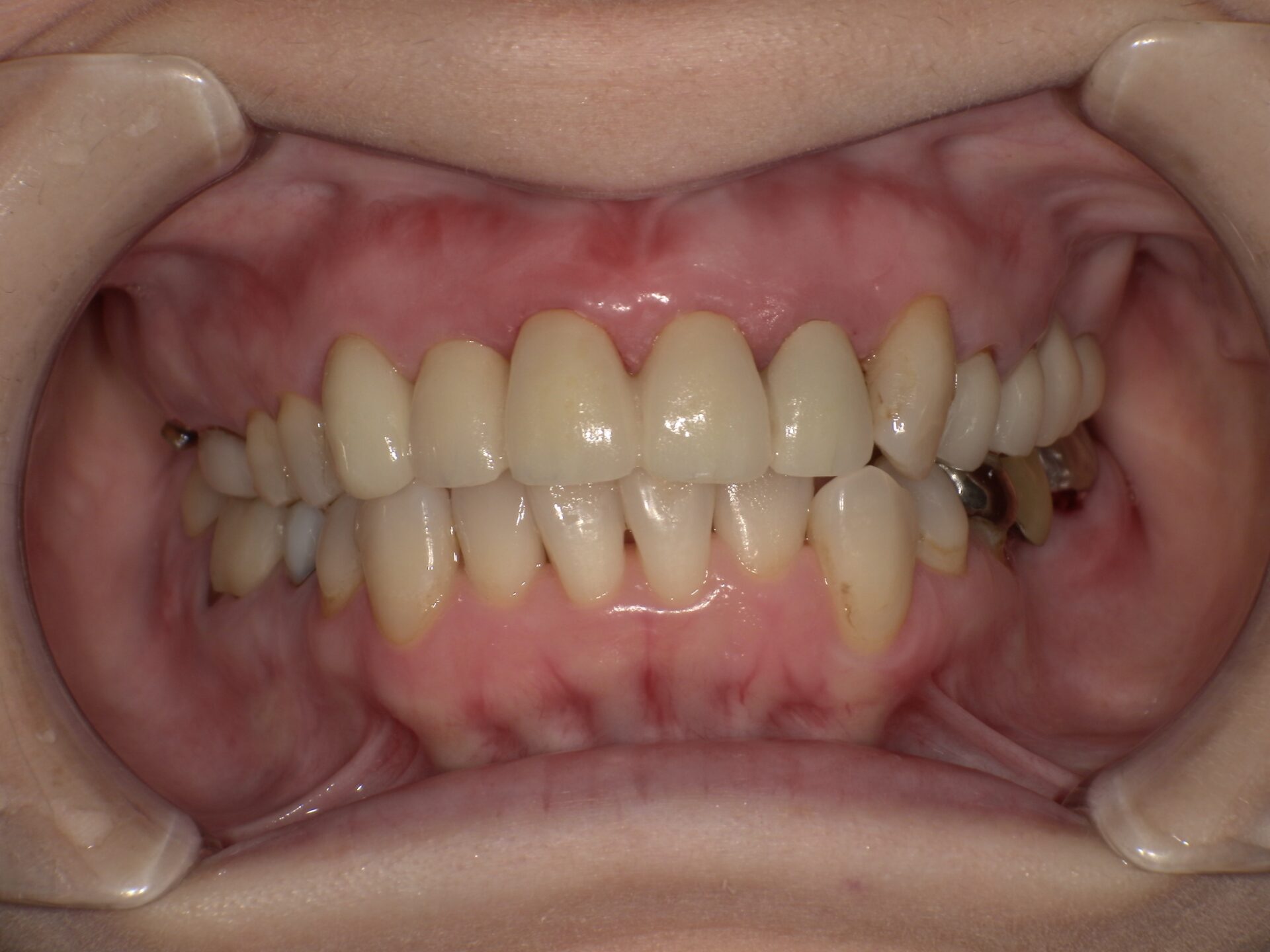
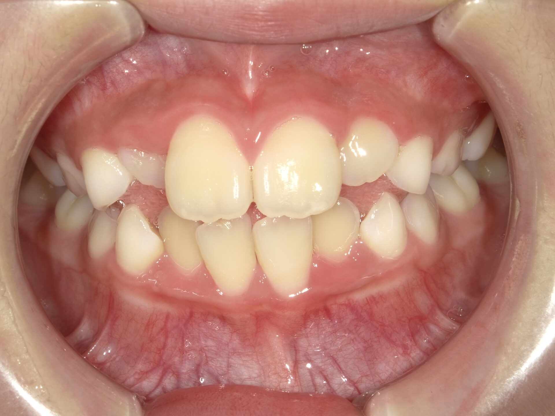
オールセラミック
Before
After
備考 主訴 患者さんは前歯の見た目をよくしたいと来院されました。 治療内容 前歯のオールセラミック治療 治療期間 1ヶ月 費用 79,200円 リスク・副作用 ・補綴治療は歯の形や噛み合わせを元通りにする治療ではありません。
・形や色は現在の状態に対して、可及的に調和が取れるようなされるものです。
・新しい噛み合わせに慣れるまでに時間がかかることがあります。
・術後にはナイトガード(歯ぎしり防止装置)の着用が必要な場合があります。- ※
- 表示金額は全て税込みです。
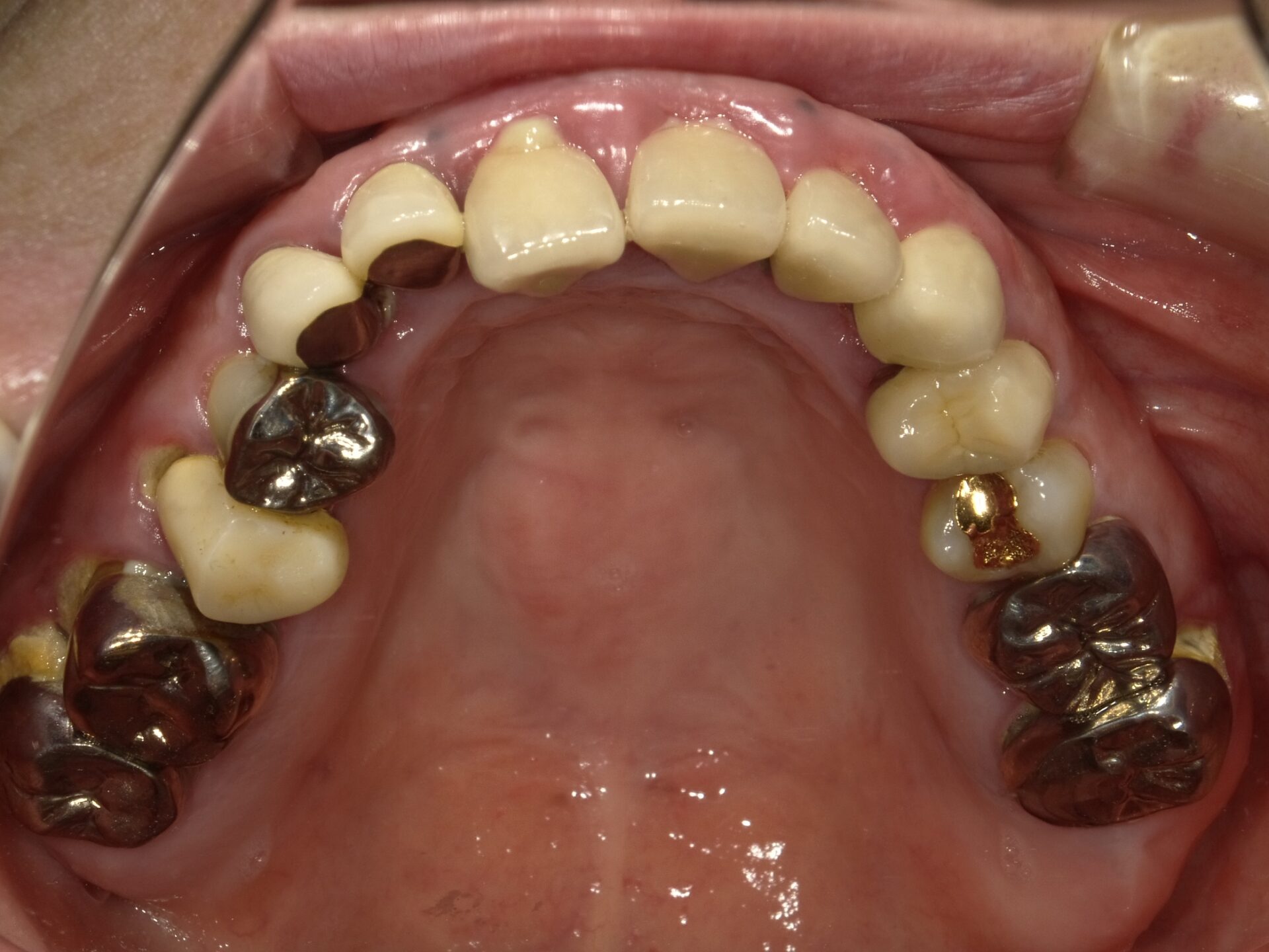
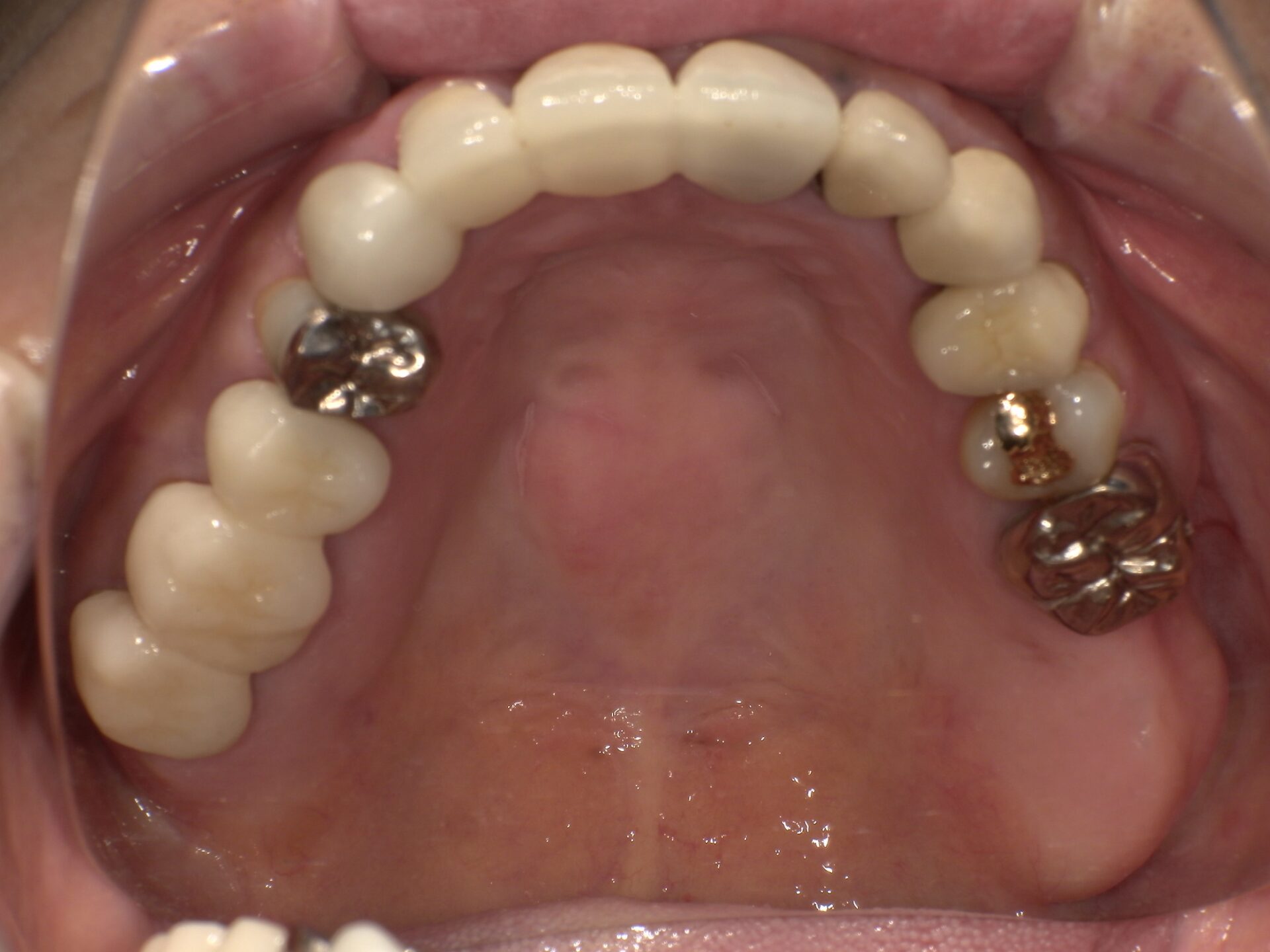
ジルコニアブリッジ
Before
After
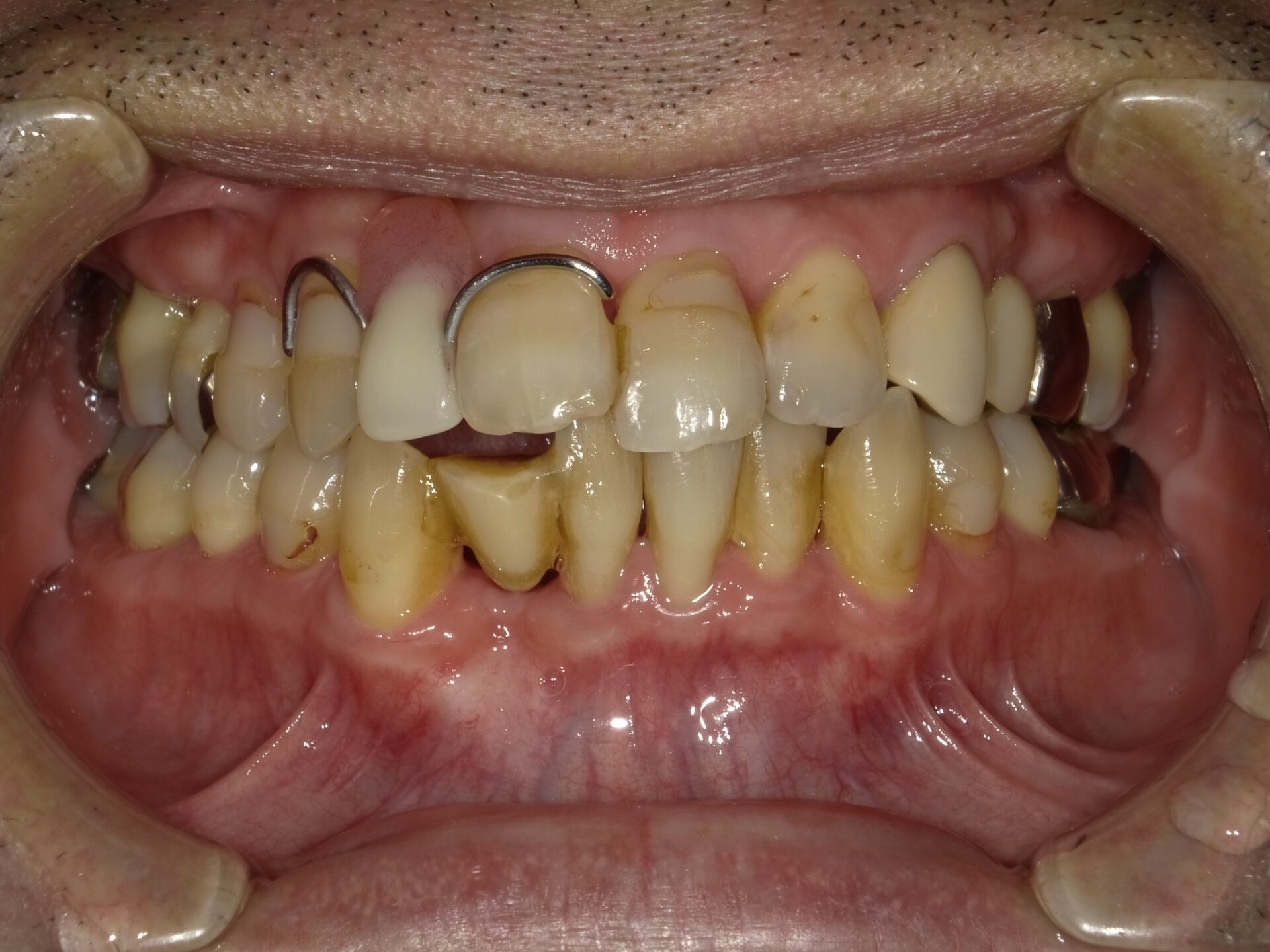
備考 主訴 70代男性:歯が欠けた 治療内容 上顎前歯のう蝕を処置して、ジルコニアブリッジ(ジルコニアボンド)を装着 治療期間 2ヵ月 費用 688,500円(税込)※7本分 リスク・副作用 歯ぎしり・かみ合わせが強い方などは破損防止のためにマウスピースをおすすめすることがあります。 - ※
- 表示金額は全て税込みです。
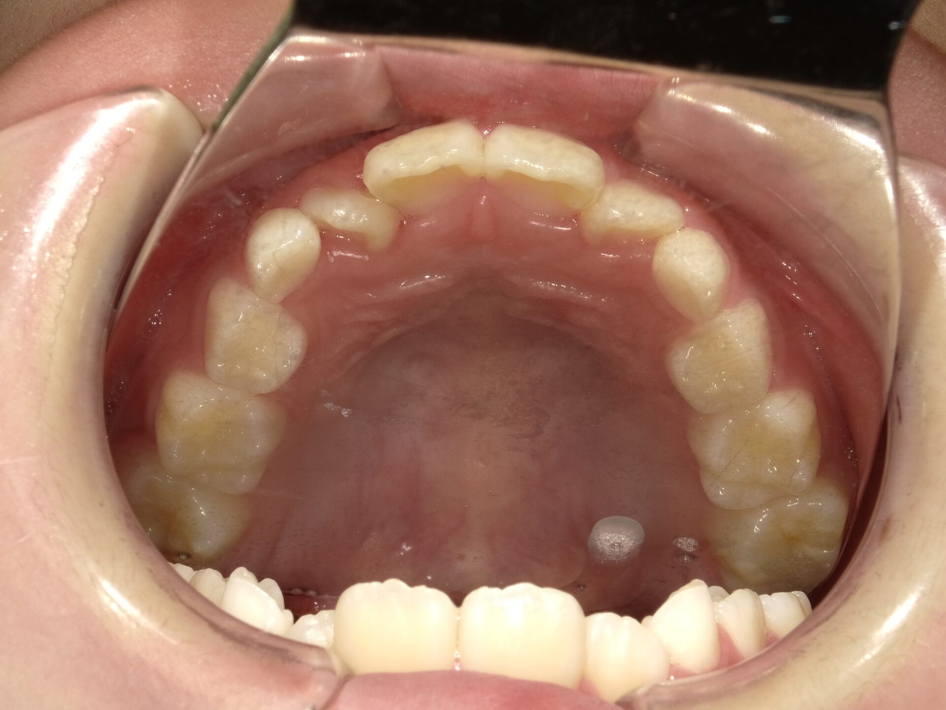
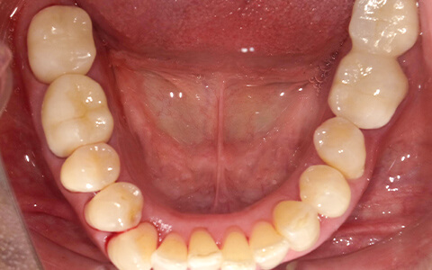
ジルコニアクラウン
Before
After
備考 主訴 60代女性:銀歯をジルコニアに変更したい 治療内容 右下6番、右下7番、左下6番、左下7番の詰め物を外して、ジルコニアクラウンを装着 治療期間 1ヵ月 費用 354,200円(税込)※4本 リスク・副作用 歯ぎしり・かみ合わせが強い方などは破損防止のためにマウスピースをおすすめすることがあります。 - ※
- 表示金額は全て税込みです。
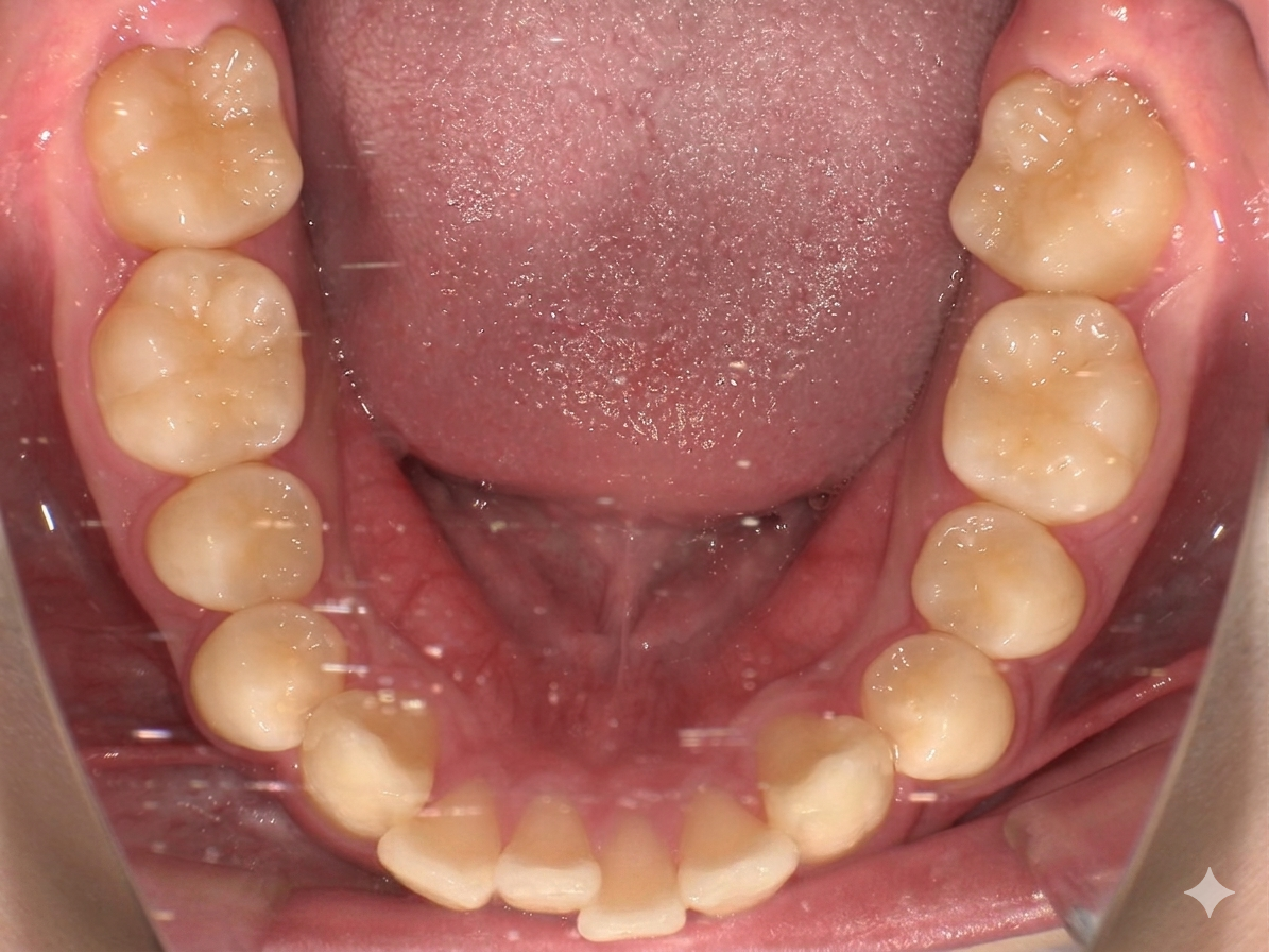
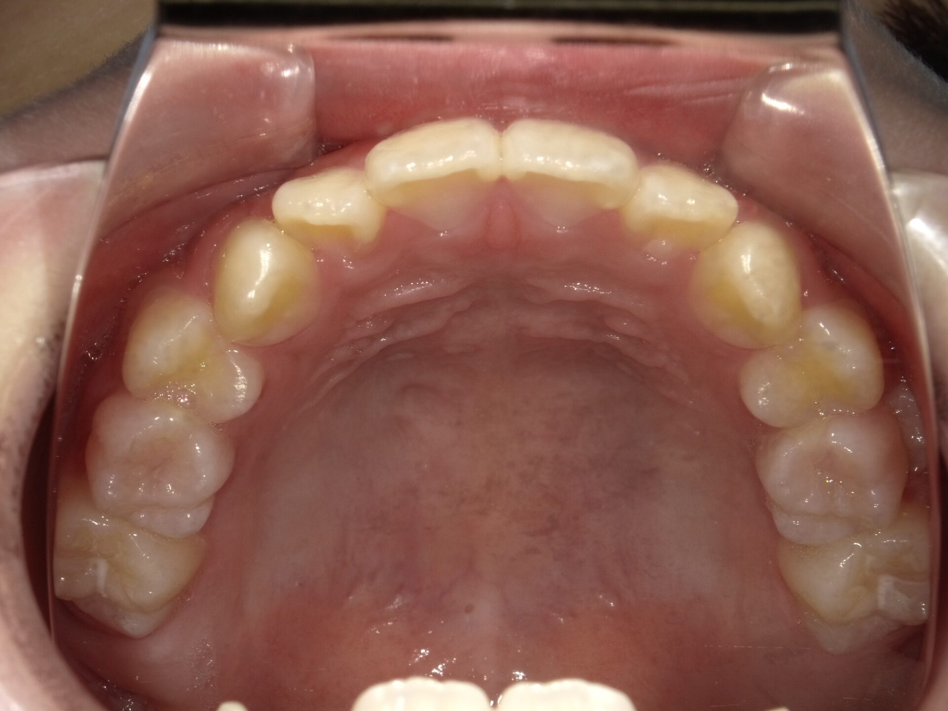
ジルコニアクラウン
Before
After
備考 主訴 60代女性:詰め物が取れた 治療内容 右上6番のう蝕を処置して、ジルコニアクラウンを装着 治療期間 2週間 費用 93,500円(税込)※1本 リスク・副作用 歯ぎしり・かみ合わせが強い方などは破損防止のためにマウスピースをおすすめすることがあります。 - ※
- 表示金額は全て税込みです。
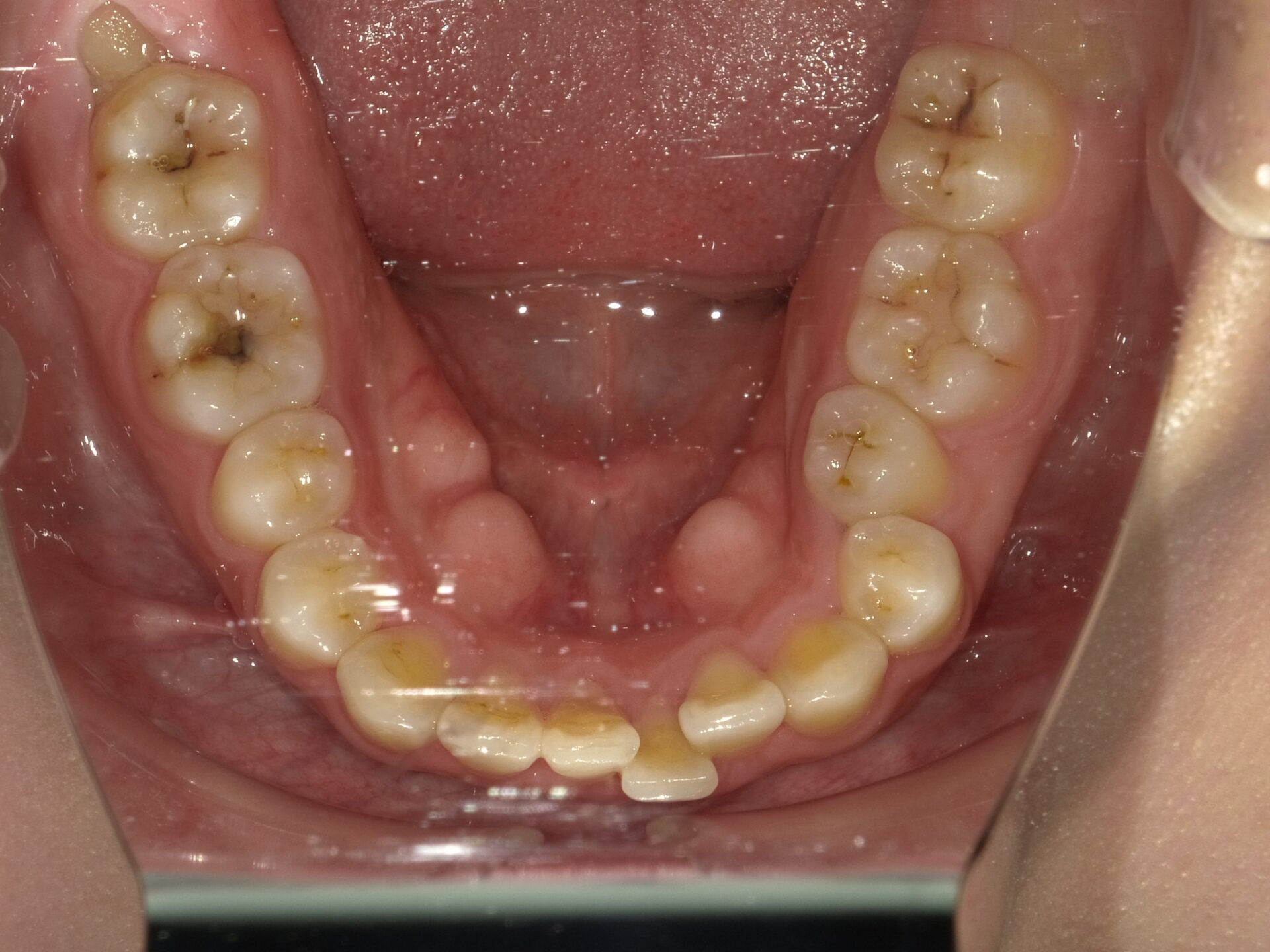
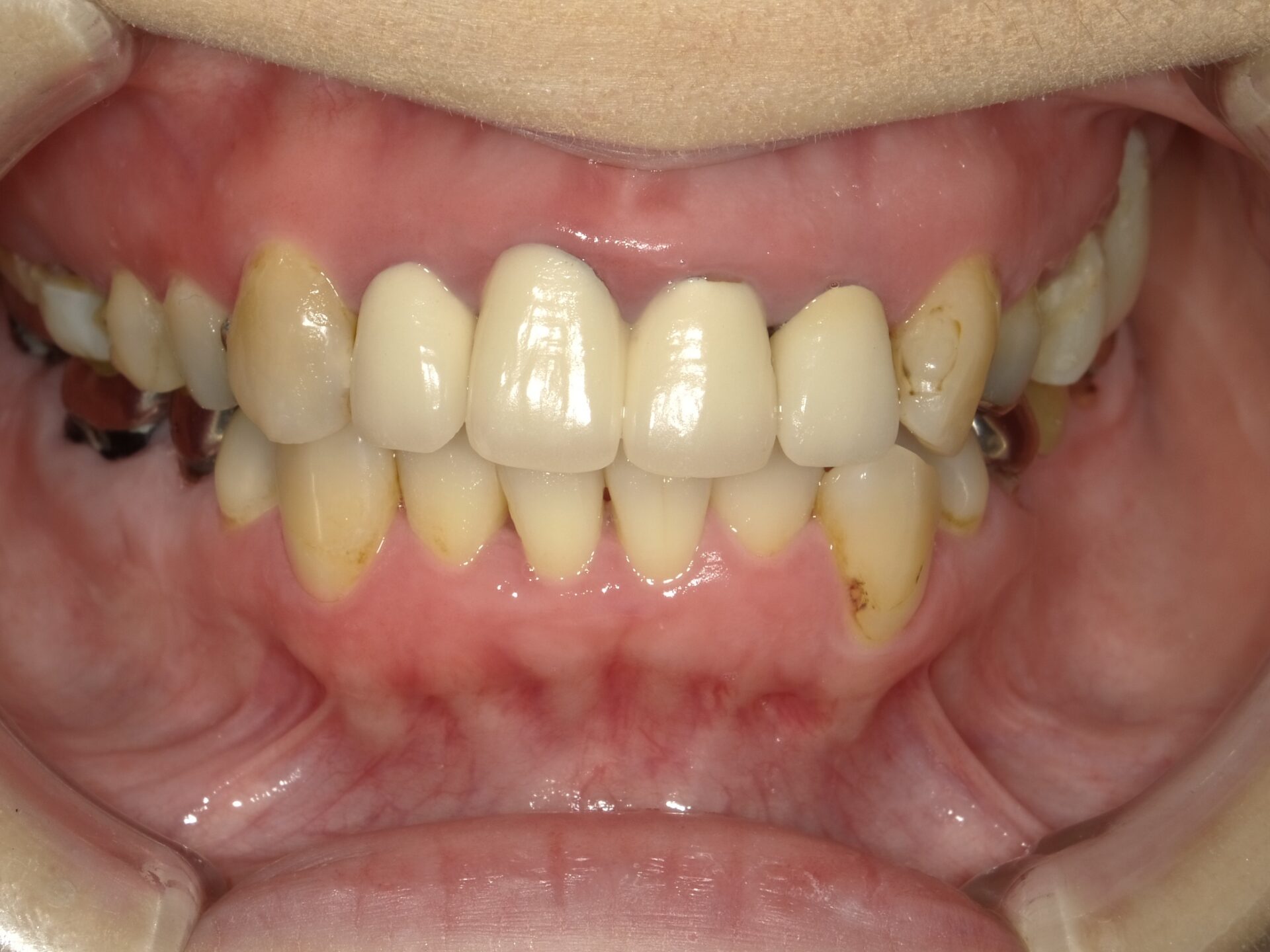
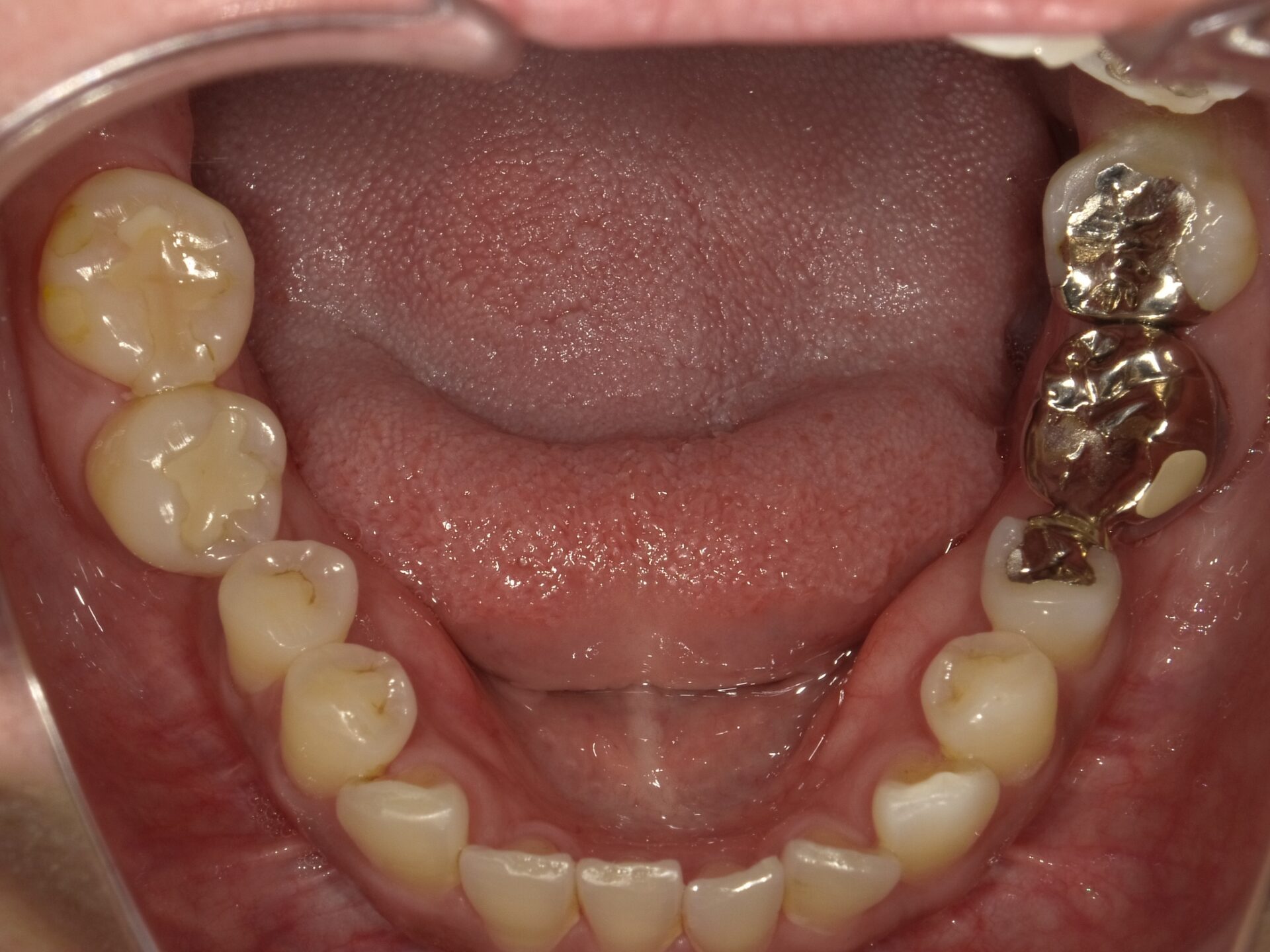
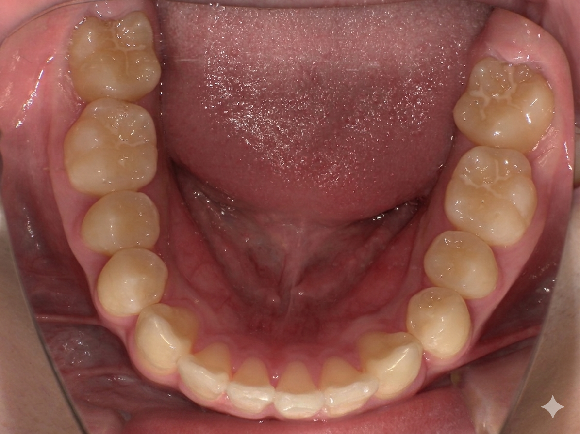
セラミッククラウン
Before
After
備考 主訴 50代女性:歯を白くしたい 治療内容 銀歯の中のう蝕を処置して、セラミッククラウン(e-max)を装着 治療期間 2週間 費用 253,000円(税込)※4本 リスク・副作用 歯ぎしり・かみ合わせが強い方などは破損防止のためにマウスピースをおすすめすることがあります。 - ※
- 表示金額は全て税込みです。
セラミックインレー
Before
After
備考 主訴 60代女性:左上6番に食べ物が詰まる 治療内容 左上6番の、う蝕を処置して、セラミックインレー(e-max)を装着 治療期間 1ヵ月 費用 47,300円(税込)※1本 リスク・副作用 歯ぎしり・かみ合わせが強い方などは破損防止のためにマウスピースをおすすめすることがあります。 - ※
- 表示金額は全て税込みです。
セラミックインレー
Before
After
備考 主訴 50代女性:歯を白くしたい 治療内容 左上6番のう蝕を処置して、セラミックインレー(e-max)を装着 治療期間 3週間 費用 47,300円(税込) リスク・副作用 歯ぎしり・かみ合わせが強い方などは破損防止のためにマウスピースをおすすめすることがあります。 - ※
- 表示金額は全て税込みです。
-
ホームホワイトニング
Before
After
備考 主訴 歯を白くしたい 治療内容 ホームホワイトニング 治療期間 3週間 費用 28,600円 リスク・副作用 知覚過敏になる場合があります。 - ※
- 表示金額は全て税込みです。
-
インプラント
Before
After
備考 主訴 歯を入れたい 治療内容 前歯のインプラント治療 治療期間 約6ヵ月 費用 501,600円 リスク・副作用 術後炎症により腫れることがあります。1週間ほどで落ち着くことがほとんどです。 - ※
- 表示金額は全て税込みです。
インプラント
Before
After
備考 ぜひエピソードをご覧ください 主訴 60代女性、歯がかけた 治療内容 右側臼歯部インプラント2本埋入 治療期間 5ヵ月 費用 700,000円(1本あたり350,000円) リスク・副作用 術後炎症により腫れることがあります。1週間ほどで落ち着くことがほとんどです。 - ※
- 表示金額は全て税込みです。
インプラント
Before
After
備考 ぜひエピソードをご覧ください 主訴 50代男性、左下の歯が具合悪い 治療内容 臼歯部インプラント4本埋入 治療期間 8ヵ月 費用 1,500,000円 リスク・副作用 術後炎症により腫れることがあります。1週間ほどで落ち着くことがほとんどです。 - ※
- 表示金額は全て税込みです。
インプラント
Before
After
備考 主訴 50代女性、欠損しているところに歯を入れてほしい 治療内容 右下6番 インプラント1本埋入 治療期間 6ヶ月 費用 385,000円 リスク・副作用 術後炎症により腫れることがあります。1週間ほどで落ち着くことがほとんどです。 - ※
- 表示金額は全て税込みです。
-
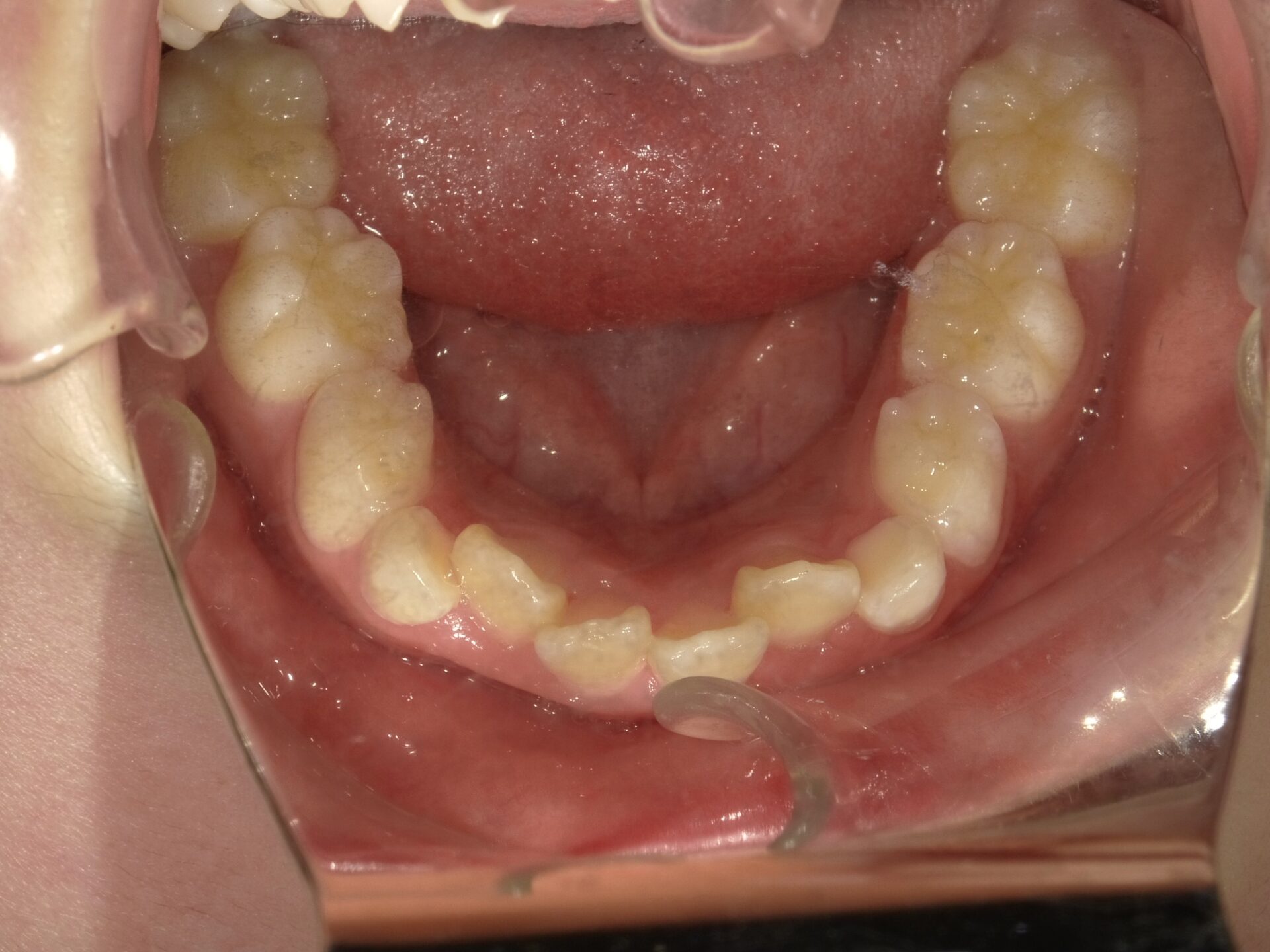
インビザラインGoによる
マウスピース矯正Before
After
Before
After
備考 主訴 前歯の並びを良くしたい 治療内容 インビザラインGoによるマウスピース矯正 治療期間 約5ヵ月 費用 275,000円 リスク・副作用 痛み、後戻り、歯根吸収、歯肉退職 - ※
- 表示金額は全て税込みです。
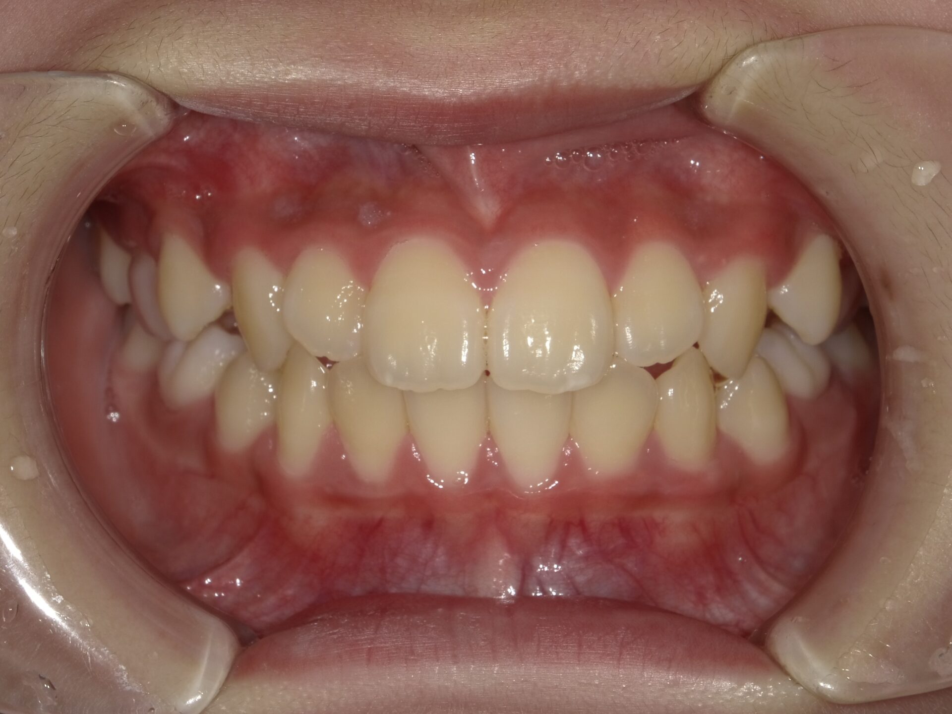
インビザラインGoによる
マウスピース矯正Before
After
備考 前歯のでっぱりが気になり、そこだけでもいいので直したいとご来院されました。マウスピース矯正をご案内し、短期間で改善した症例をご案内します。 主訴 前歯の叢生 治療内容 インビザラインGoによるマウスピース矯正 治療期間 3ヵ月 費用 385,000円(税込) リスク・副作用 痛み、後戻り、歯肉炎、歯根吸収、歯肉退縮 - ※
- 表示金額は全て税込みです。
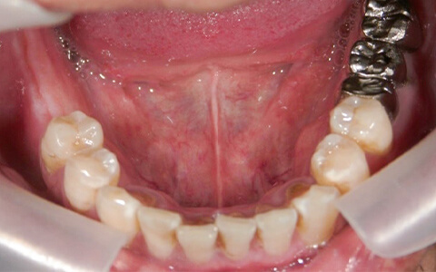
インビザラインGoによる
マウスピース矯正Before
After
備考 子供のころ矯正をしており、後戻りした下の前歯の重なりが気になるとのことで来院しました。結婚式までに矯正を終わらせたいとのことで、短期間でできるマウスピース矯正をご案内しました。 主訴 前歯の叢生 治療内容 インビザラインGoによるマウスピース矯正 治療期間 3ヶ月半 費用 385,000円(税込) リスク・副作用 痛み、後戻り、歯肉炎、歯根吸収、歯肉退縮 - ※
- 表示金額は全て税込みです。
インビザラインGoによる
マウスピース矯正Before
After
備考 前歯の隙間が気になるとのことで、マウスピース矯正をご案内し短期間で改善した症例をご案内します。 主訴 前歯の正中離開 治療内容 インビザラインGoによるマウスピース矯正 治療期間 2か月半 費用 385,000円(税込) リスク・副作用 痛み、後戻り、歯肉炎、歯根吸収、歯肉退縮 - ※
- 表示金額は全て税込みです。
インビザラインGoによる
マウスピース矯正Before
After
備考 子供のころ矯正の費用が高く途中でやめてしまい、前歯の重なりが気になるとのことで、マウスピース矯正をご案内し改善した症例をご案内します。 主訴 前歯の叢生 治療内容 インビザラインGoによるマウスピース矯正 治療期間 4か月 費用 385,000円(税込) リスク・副作用 痛み、後戻り、歯肉炎、歯根吸収、歯肉退縮 - ※
- 表示金額は全て税込みです。
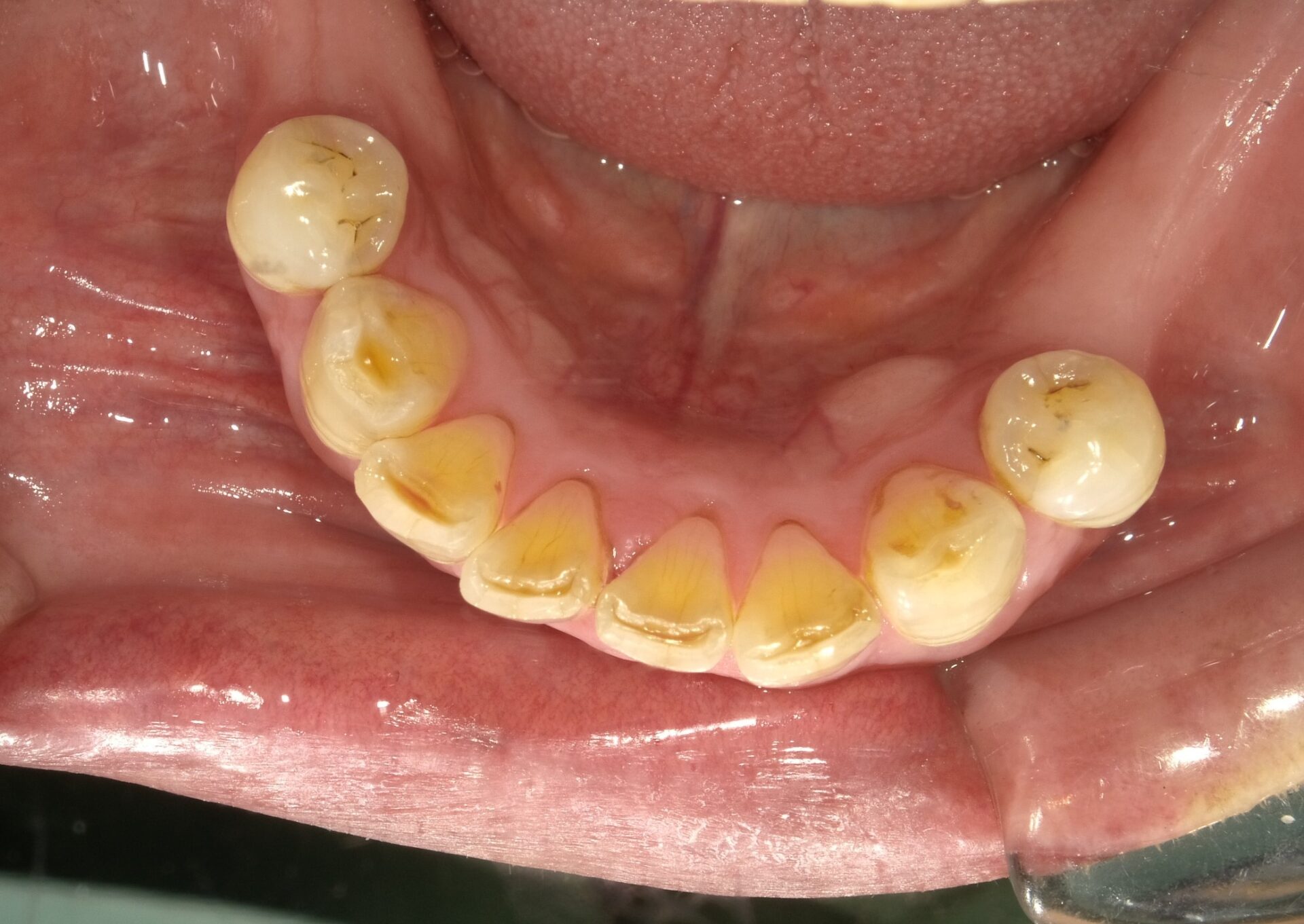
インビザラインGoによる
マウスピース矯正Before
After
備考 下の前歯の歯並びが舌で触ると気になるとのことで、マウスピースをご案内しました。 主訴 下顎の叢生 治療内容 インビザラインGoによるマウスピース矯正 治療期間 4か月 費用 385,000円(税込) リスク・副作用 痛み、後戻り、歯肉炎、歯根吸収、歯肉退縮 - ※
- 表示金額は全て税込みです。
-
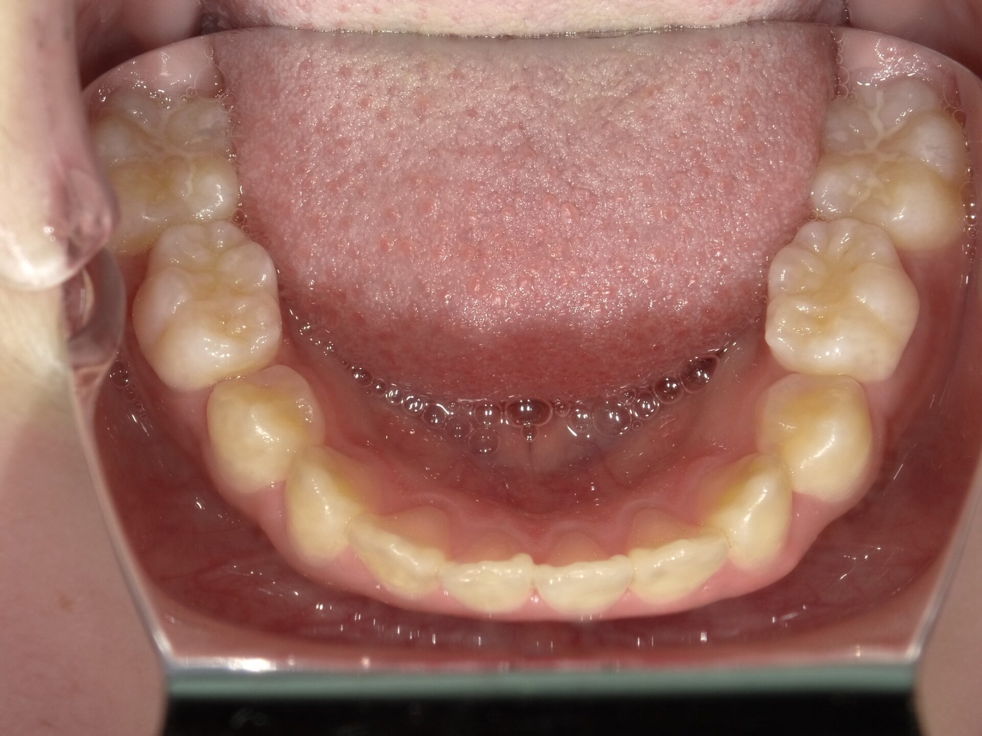
床矯正
Before
After
備考 主訴 歯が重なって生えてきた 治療内容 床矯正 治療期間 10ヵ月 費用 385,000円(税込) リスク・副作用 治療開始のタイミングに限りがある、装着時の違和感 - ※
- 表示金額は全て税込みです。
-
根管治療
