はすみ歯科クリニック 歯科衛生士の隈井です。
当院でインプラント治療を受けて頂いた患者様の治療記録をご紹介します。
同じような治療を考えていらっしゃる方の参考になれば嬉しいです。
年齢・主訴
60代男性 右下のブリッジの調子が悪い

治療経過
- 2023年7月:右下の痛みと神経の処置

右下の奥歯に痛みがあると訴えがあり診査したところ、ブリッジの土台となる歯の状態が悪く被せ物を外して神経をとる処置をしました。
この歯はもともと歯を補うためのブリッジの支えになっていた歯な為、再び同じように土台として使っていけるか心配なところでした。
- 2024年1月:土台の歯がグラグラに
年が明けてまもなく、その神経を取った歯の揺れが目立つように。
診断の結果再びブリッジの土台にするのは難しいという判断となりました。
そこで土台の歯は単独で被せ物をし、失っていた歯にはインプラントを入れる方針に変更となりました。
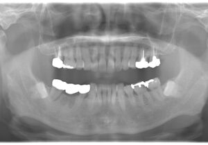
- 2024年5月:CT撮影でインプラントの診査
インプラントを行うには骨の状態などを確認する必要があります。
そのためCTの撮影をしてインプラントを問題なく埋められるかを診査しました。
- 2024年7月:インプラント手術
インプラントの一次手術(人工歯根埋入)実施
術後のトラブルもなく回復していきました。その後はインプラントが骨としっかり結合するのを約3ヶ月間待ちます。
- 2024年10月:土台作りへ
骨との結合が確認できると、埋め込んだインプラントに土台をつけて仮歯をつける準備に入ります。
- 2024年12月:仮歯が入り噛めるように!
土台と仮歯が入り、噛めるようになりました。
この時点ではまだ仮歯ですが、見た目も噛み心地も大きな違和感なく使えます。
- 2025年1月から2月:最終仕上げへ
最終的な被せ物(セラミッククラウン)の型行い取りを行い、いよいよ完成したセラミックの被せ物が入りました。
インプラント部分は本物の歯のように自然でしっかりと噛めるようになりました。
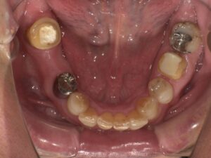
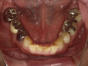
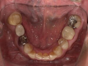
術前・術後写真
【術前】

【術後】

費用:CT 16,500円(税込) インプラント(オペ代・上部構造含む) 385,000円(税込)
治療期間:7ヶ月
リスク・副作用:術後の疼痛・腫れ・インプラント周囲炎等歯科医師からの見解
右下7番の状態が悪い患者さんでした。骨吸収を起こしており動揺もでていたので、抜歯も考えましたが、インプラントを選択されたので、骨吸収像は見られますが、動揺はほぼ無くなり噛めている状態を維持されています。インプラントは他の歯を守ることができる治療法だと思えた症例となりました。
監修:はすみ歯科クリニック 院長 蓮見卓真
